Apparecchio Invisibile
Puoi allineare i tuoi denti, dicendo addio a ferretti e fili metallici!
Apparecchio Invisibile
Puoi allineare i tuoi denti, dicendo addio a ferretti e fili metallici!
I vantaggi dell’Apparecchio Invisibile
Trasparente
Rimovibile
Efficace
L’Apparecchio Invisibile che allinea i tuoi denti, senza cambiare le tue abitudini.
L’Apparecchio Invisibile Invisalign® non utilizza i classici attacchi fissi e fili metallici, ma allinea i denti con una serie di mascherine (allineatori) invisibili e rimovibili, create su misura in modo da essere perfettamente aderenti e confortevoli.
Si possono togliere in qualsiasi momento per mangiare, per mantenere la corretta igiene orale o per appuntamenti importanti.
Man mano che si sostituiscono le mascherine, i denti si spostano fino al raggiungimento della posizione desiderata. Le mascherine sono praticamente invisibili, anche osservata da una distanza ravvicinata. Ogni mascherina deve essere indossata (con costanza e regolarità) per alcuni giorni prestabiliti e poi si passa alla mascherina successiva.
Non puoi venire in studio?
Fai comodamente da casa la prevalutazione del tuo sorriso e scopri se sei compatibile con la terapia ortodontica.
Come funziona la terapia con Invisalign®?
Il trattamento è efficace quanto una terapia tradizionale ma più rapida e senza fastidi.
Il vero e proprio trattamento con l’apparecchio invisibile, inizia solo dopo una serie di esami di controllo, come ortopanoramiche, impronte di precisione o scansioni intraorali, necessari per capire come sono posizionati i denti.
Grazie ad un apposito software che crea un modello 3D, possiamo mostrare al paziente come sarà il sorriso alla fine del trattamento. Il software calcola anche quante settimane sono necessarie per il trattamento e, di conseguenza, quanti allineatori servono.
Gli allineatori trasparenti sono fatti di un materiale plastico praticamente invisibile e molto sottile, da indossare sulle due arcate dentali. Un allineatore va indossato dai 7 ai 15 giorni, per poi passare a quello successivo. Gli allineatori sono leggermente diversi l’uni dagli altri e sono realizzati per allineare progressivamente i denti.
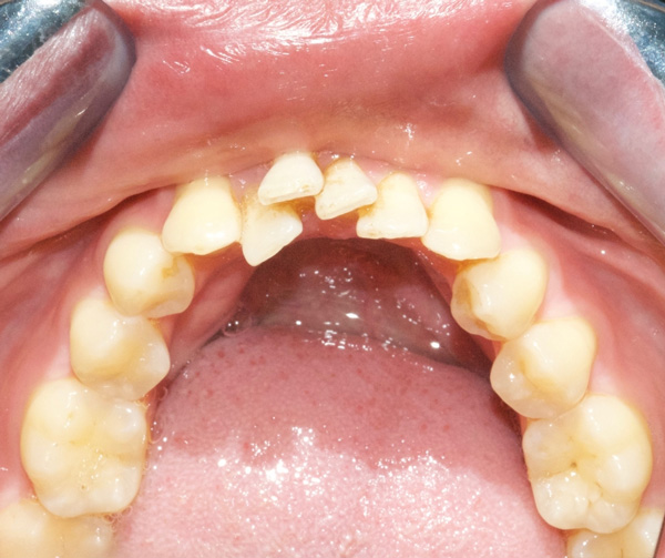
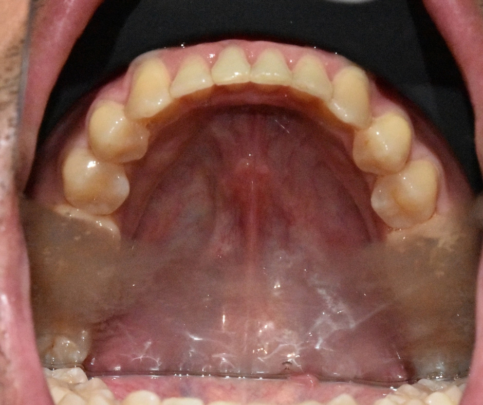
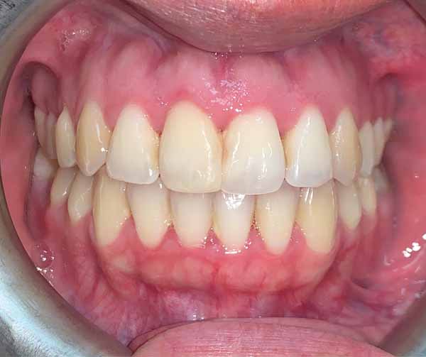
I risultati di chi ha già scelto l’apparecchio invisibile
Grazie agli apparecchi invisibili Invisalign® puoi avere il sorriso che desideri senza cambiare le tue abitudini quotidiane!
- Puoi rimuoverlo per mangiare tutto quello che vuoi
- E’ trasparente! Puoi sorridere senza imbarazzo
- Funziona come un Bite: puoi fare sport ed è utile se soffri di bruxismo
- Rimuovere l’apparecchio invisibile ti consente di curare meglio l’igiene orale
Affidati alla Dott.ssa Dieni, tra le più esperte d’Europa con oltre 2000 pazienti trattati
Scegliere lo Studio della Dott.ssa Silvia Dieni significa scegliere una specialista nell’ortodonzia invisibile, considerata tra i 300 Invisalign Provider
più esperti al mondo.
- Nel 2015 diventa Invisalign Diamond Provider, affermandosi come la più giovane provider di questo livello in Europa.
- Membro dell’Advantage Elite Club, la più alta categoria internazionale di cui fanno parte i 50 dottori più esperti d’Europa
- Dottore selezionato e precursore per la Metodica Spark in Italia
- Tutor e guida per le tecniche con allineatori
- Invisalign Diamond Top Doctor da più di 5 anni
Affidati alla Dott.ssa Dieni, tra le più esperte d’Europa con oltre 2000 pazienti
Scegliere lo Studio della Dott.ssa Silvia Dieni significa scegliere una specialista nell’ortodonzia invisibile, considerata tra i 300 Invisalign Provider più esperti al mondo.
- Nel 2015 diventa Invisalign Diamond Provider, affermandosi come la più giovane provider di questo livello in Europa.
- Membro dell’Advantage Elite Club, la più alta categoria internazionale di cui fanno parte i 50 dottori più esperti d’Europa
- Dottore selezionato e precursore per la Metodica Spark in Italia
- Tutor e guida per le tecniche con allineatori
- Invisalign Diamond Top Doctor da più di 5 anni
Pagamenti con RID bancario, senza interessi e con importi personalizzabili.
Pagamenti facilitati
(Bancomat, Carta di Credito)
Dilazione su carta di credito
Smallpay
Modalità di pagamento
Bonifico, Contanti, Assegno
Modalità di pagamento
RID su conto corrente o carta di credito
Finanziamenti agevolati con Deutesche bank
Rateizzazioni senza interessi tramite portali Codifis e Appago con primo pagamento a 30 o 60 giorni
Maggiori
info
Dott.ssa Silvia Dieni
Iscrizione Ordine dei Medici di Roma: n° 06215
SD Srl | Via catania 19 00161 Roma
P.IVA 16188731000
Telefono: 0644243490
Whatsapp: 3939534420










